ホワイトニングは何回で白くなる?|さわデンタルクリニック|浜松市中区の歯医者

ホワイトニングは何回で白くなる?|さわデンタルクリニック|浜松市中区の歯医者

ホワイトニングは何回で白くなる?|さわデンタルクリニック|浜松市中区の歯医者

〒430-0929 静岡県浜松市中央区中央2-13-19

053-489-4180 9:00~13:00 / 14:30~18:00

ブログ BLOG

053-489-4180 9:00~13:00 / 14:30~18:00

ホワイトニングは何回で白くなる?

「ホワイトニングって1回で白くなるの?」
「何回通えばいいか分からない・・・」
こういった疑問を持たれる方は多いと思います。

結論からいうと
⭐1回でも変化はありますが、理想の白さには複数回必要です。

🦷回数の目安🦷

オフィスホワイトニング(歯科医院で行う方法)の場合
1回:少しトーンアップ
2~3回:周りに気づかれる白さ
3~5回:しっかり白さを実感
→多くの方は3回前後で満足されることが多いです。

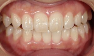
オフィスホワイトニングbefore

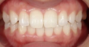
オフィスホワイトニング2回終了後



ホームホワイトニング(自宅でマウスピースを使って行う方法)の場合
→約1か月継続して白さを実感

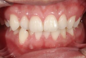
ホームホワイトニングbefore

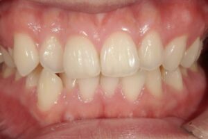
ホームホワイトニング1か月後


🦷回数に差が出る理由🦷

①元の歯の色
黄ばみが強いほど回数が必要になります。

②生活習慣
コーヒー、紅茶、タバコなどで着色が付きやすくなります。

③ホワイトニングの種類
オフィス:即効性あるが後戻りしやすい
ホーム:時間はかかるが理想の白さになりやすい
デュアル:ホームとオフィスを組み合わせて行う方法で効率よく白くできる
👆この方法が理想的な白さを実感しやすいです。

🦷よくある質問🦷

Q,痛いですか?
→しみる症状が出ることがありますが、一時的なことが多いため、問題なく続けられる方が多いです。気になる方はしみ止めの処置も行えます。

Q,どのくらい持ちますか?
→全く何もしないでいると、数か月から半年程度(生活習慣によります)ですが、
メンテナンスをしていけば白さを維持しやすいです。

🦷当院のホワイトニングの特徴🦷

⭐歯科衛生士が丁寧にカウンセリング
⭐しみにくい薬剤を使用しています
⭐ハイドロキシアパタイト配合で歯を強くしながら白くできます
⭐透明感のある自然な白さに

歯の清潔感がアップしたり、明るい印象に変わるホワイトニング、気になる方は
お気軽にお問い合わせください。















監修者 さわデンタルクリニック
歯科医師 澤木 厚子

【ご予約はこちらから】

お電話  053-489-4180
平日 9:00~13:00 14:30~18:00
土曜 9:00~13:00 14:00~16:30
休診日 木・日・祝
(祝日のある週の木曜は診療いたします)

【初めての方・定期健診の方専用】24時間オンライン予約は
こちらをクリック ⇒ WEB予約


初めての方は10分前にお越しくださいますようお願いいたします😊